Панорамный рентген зубов

46
644

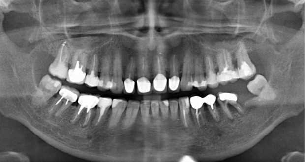
Панорамный рентген, или ортопантомограмма, — это высокоинформативный способ увидеть всю систему зубов. Снимок охватывает не только зубные ряды, но и суставы, носовые пазухи и окружающие мягкие ткани. Благодаря этому стоматолог может выявить скрытые патологии, определить оптимальную стратегию лечения и избежать возможных осложнений.

Когда назначают панорамный рентген?

Ортопантомограмма используется в различных стоматологических направлениях. Она назначается в следующих случаях:

  • Планирование — перед установкой брекетов, капп или других корректирующих систем важно проверить корни, положение зачатков и плотность костной ткани.
  • Протезирование — помогает определить состояние опорных зубов, выявить воспалительные процессы и оценить высоту костной ткани.
  • Диагностика заболеваний — с помощью панорамного рентгена можно обнаружить кисты, гранулемы, новообразования, воспалительные процессы в костной ткани и скрытые очаги инфекции.
  • Оценка состояния зубов мудрости — снимок позволяет определить угол наклона и наличие ретенции (задержки прорезывания), что помогает принять решение об их удалении.
  • Обнаружение скрытого кариеса — стандартный осмотр не всегда позволяет выявить пораженные участки между зубами и под пломбами, а ортопантомограмма помогает это сделать.
  • После травм и переломов — при ударах, падениях или других повреждениях челюсти рентген позволяет оценить характер переломов и смещения костных структур.

Как проходит процедура?

Панорамный рентген — это быстрая, безболезненная и безопасная процедура, занимающая всего несколько минут. Она проходит следующим образом:

  1. Подготовка — пациента просят снять металлические приспособления и аксессуары, так как они могут исказить изображение.
  2. Позиционирование — человек встает или садится в аппарат, прижимая подбородок к специальной подставке и слегка кусая пластиковый фиксатор, чтобы правильно зафиксировать положение головы.
  3. Сканирование — рентгеновский аппарат медленно вращается вокруг головы, выполняя снимок.
  4. Процедура занимает не более 10–15 секунд, после чего врач получает детализированное изображение на компьютер.

Безопасен ли панорамный рентген?

Современные рентгеновские аппараты используют минимальное излучение, не превышающее безопасных норм. Доза облучения при панорамном снимке значительно ниже, чем при традиционном прицельном рентгене нескольких зубов. Однако беременным женщинам рентген назначается только в крайних случаях, а при необходимости обследования используются специальные защитные экраны.

Где можно сделать панорамный рентген?

Такое обследование доступно в большинстве современных стоматологических клиник, оснащенных цифровыми рентгеновскими установками. Например, в клиниках сети СМ-Клиника https://www.sm-stomatology.ru/services/diagnostika/ortopantomogramma/ процедура проводится на высокоточном оборудовании, обеспечивающем качественные снимки с минимальным излучением.

Заключение

Панорамный рентген зубов — важный инструмент стоматологической диагностики, позволяющий выявлять патологии на ранних стадиях, точно планировать лечение и контролировать его эффективность. Если врач рекомендует пройти обследование, не стоит откладывать процедуру: своевременная диагностика помогает избежать серьезных осложнений в будущем.

Автор: Мир переводов
ОЦЕНИТЬ НОВОСТЬ
5 (голосов: 47)

Комментарии:

  • avatar
    ZHEEZH - 27.02.2025, 17:57
    Всем привет. Понравился пост, ставлю 5 баллов.
  • avatar
    leninandwood - 27.02.2025, 18:18
    Сайт супер, побольше бы таких!
  • avatar
    MDD96 - 27.02.2025, 18:47
    Вот так история!
  • avatar
    Anon0 - 27.02.2025, 19:13
    пізнавальна тема
  • avatar
    AHIMAR - 27.02.2025, 19:59
    Знайомий стиль ...
  • avatar
    Mordamaza - 27.02.2025, 20:10
    просто афигенно !!!!))
  • avatar
    Andantr - 27.02.2025, 20:55
    Завжди приємно читати розумних людей
  • avatar
    ZenCreator - 27.02.2025, 21:08
    Стаття неоднозначна - не можна кидатися в крайності.
  • avatar
    Shamandus - 27.02.2025, 21:49
    ух ты как крууууууууууутооооооо))
  • avatar
    Msrew - 27.02.2025, 22:18
    познавательная тема
  • avatar
    Optovique - 27.02.2025, 22:50
    Может Ваш сайт даже поднимется в выдаче за такой материал.
  • avatar
    Talibon87 - 27.02.2025, 23:00
    Готов дискутировать по теме?
  • avatar
    Nesu_dobro - 27.02.2025, 23:41
    статья неплохая но название как-то не очень
  • avatar
    Sergacheva - 28.02.2025, 00:04
    Спасибо большое!
  • avatar
    F1nya - 28.02.2025, 00:45
    Вы не правы.
  • avatar
    inthro - 28.02.2025, 01:17
    ух ты как крууууууууууутооооооо))
  • avatar
    Optovique - 28.02.2025, 01:53
    пізнавальна тема
  • avatar
    drakeserg - 28.02.2025, 02:11
    Дуже сподобалася ваша стаття
  • avatar
    JQXAHH - 28.02.2025, 02:55
    было интересно вас почитать, спасибо и удачи!
  • avatar
    VK_One - 28.02.2025, 03:01
    Звідки берете інфу для постів якщо не секрет?
  • avatar
    Naithary - 28.02.2025, 03:52
    ИМХО смысл раскрыт от А, до Я, автор выжал всё что можно, за что ему респект!
  • avatar
    bizhard - 28.02.2025, 04:13
    чого струму не придумають ...
  • avatar
    ssoryjesus - 28.02.2025, 04:40
    Мені сподобалося!
  • avatar
    MIGHTYMM - 28.02.2025, 05:01
    Ну жесть конечно…
  • avatar
    Muhamkir - 28.02.2025, 05:49
    Досить цікава і пізнавальна тема
  • avatar
    AndreyOd - 28.02.2025, 06:11
    А який це движок? теж хочу блог завести
  • avatar
    ogbuda - 28.02.2025, 06:48
    Да, довольно интересная статья.
  • avatar
    l3gal - 28.02.2025, 07:08
    Дуже пізнавально. Дякуємо.
  • avatar
    switchblades - 28.02.2025, 07:52
    Спасибо за статью оказалась очень полезной.
  • avatar
    dgcfhvff - 28.02.2025, 08:12
    мысли здравые, но тяжело читать, не знаю почему.
  • avatar
    Zeddikys - 28.02.2025, 08:53
    Так, досить цікава стаття.
  • avatar
    Blackisle - 28.02.2025, 09:07
    А який це движок? теж хочу блог завести
  • avatar
    crashreporter - 28.02.2025, 09:52
    лучше и не скажешь
  • avatar
    Redmaaan - 28.02.2025, 10:12
    Пора автору пам'ятник поставити за життя. Хто за?
  • avatar
    MorningGood - 28.02.2025, 10:40
    Абсолютно согласен
  • avatar
    Calvito1 - 28.02.2025, 11:14
    Дуже сподобалася ваша стаття
  • avatar
    StefanMinsk - 28.02.2025, 11:43
    поміняй назву домену
  • avatar
    Wlg34 - 28.02.2025, 12:19
    стаття непогана але назва якось не дуже
  • avatar
    VLINDEREFFECT - 28.02.2025, 12:54
    Классно!
  • avatar
    prognoz_bukmeker - 28.02.2025, 13:17
    Побольше бы таких статей
  • avatar
    SpetsuraGRUGSh - 28.02.2025, 13:52
    интересно. только название какое-то несерьезное.
  • avatar
    Denisnepro - 28.02.2025, 14:19
    Все четко и по делу. Хорошо написано, благодарю.
  • avatar
    Даня Вегас - 28.02.2025, 14:40
    Дуже цікаво! Судячи з деяких відгуків ....
  • avatar
    Dickson228 - 28.02.2025, 15:02
    Мне все понравилось, только если бы еще денег на длоге дали или конкурс провели, было бы вообще отлично.
  • avatar
    Venus888 - 28.02.2025, 15:42
    Сенкс. Интересно, и вообще полезный у Вас сайт
  • avatar
    BlackChapter - 28.02.2025, 16:14
    Пожал бы руку автору, и дал по морде всем его ненавистникам.
ВВЕРХ